안녕하세요. 인천 검단 아솔내과입니다.
요즘처럼 기온이 급격히 떨어지고 건조한 계절이 다가오면, 독감 환자들이 눈에 띄게 늘어납니다.
많은 분들이 “독감은 그냥 감기 아니에요?”라고 생각하시지만, 독감은 단순 감기와 전혀 다른 바이러스성 질환이며 치료 시기를 놓칠 경우 중증 합병증까지도 유발할 수 있습니다.
이번 글에서는 독감 치료 안하면 생길 수 있는 임상적 위험성을 중심으로, 어떤 경우에 수액 치료가 도움이 되는지까지 근거 중심으로 안내드리겠습니다.

1. 독감은 감기와 다르다

독감은 인플루엔자 바이러스(A형, B형 등)에 의해 발생하는 전신 감염성 질환으로, 일반적인 감기와 달리 고열, 근육통, 피로감, 마른기침, 두통, 식욕부진 등의 전신 증상이 특징입니다.
바이러스는 기침, 재채기 등의 비말(Respiratory droplets)이나 오염된 물건을 통한 접촉으로 쉽게 전파되며, 증상이 나타나기 1일 전부터 전염력이 존재합니다[1].
평균적으로는 일주일 내에 회복되는 경우가 많지만, 치료를 하지 않고 방치할 경우 중증 합병증으로의 진행 위험이 상당히 높습니다.
2. 독감 치료 안하면? 가능한 합병증
독감은 결코 우습게 볼 질환이 아닙니다. 건강한 성인이라면 독감이 자연적으로 회복되어 지나갈 수 있지만, 면역력이 저하되어 있는 고령층이나, 호흡기 기저질환을 앓고 계신 분들이라면 매우 경각심을 가지고 계셔야 합니다.
따라서 고위험군 환자분들에게는 적절한 독감 치료를 받지 않으면, 합병증의 위험이 굉장히 커집니다.
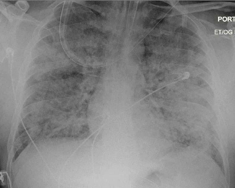
(1) 2차 세균성 폐렴 (Secondary Bacterial Pneumonia)
인플루엔자 바이러스는 상기도 점막의 방어력을 약화시켜 폐렴구균, 황색포도상구균 등의 이차 감염이 발생할 위험을 높입니다.
특히 65세 이상 고령자와 만성 폐질환자에서는 폐렴으로 인한 입원이 흔하며, 미국 CDC 자료에 따르면 인플루엔자 관련 사망자의 상당수가 폐렴 합병증과 연관되어 있습니다[1].
(2) 급성 호흡부전 및 입원 치료 필요

바이러스 감염이 폐로 확산되며 급성 호흡곤란 증후군(ARDS)이나 산소포화도 저하로 이어질 수 있습니다. 이러한 경우에는 고농도 산소 요법 또는 인공호흡기 치료가 필요할 수 있습니다.
3. 독감 치료는 언제 필요할까요?
독감 치료의 핵심은 항바이러스제 투여 시기에 있습니다. 대표적인 약제인 Oseltamivir(타미플루)는 증상 발현 48시간 이내에 복용해야 효과가 가장 큽니다[1]. 늦어질수록 바이러스의 증식은 이미 정점을 지나 합병증 위험이 높아집니다.
특히 다음과 같은 고위험군에서는 진단과 동시에 항바이러스 치료를 시작하는 것이 원칙입니다.
- 65세 이상 고령자
- 임산부 또는 산모
- 천식, COPD, 심혈관질환, 당뇨 등 만성질환자
- 면역저하자 (암환자, 장기이식자 등)
- 5세 미만 소아 (특히 2세 미만)
이외에도, 가족 구성원 중 고위험군이 있는 경우, 또는 직업상 빠른 회복이 필요한 경우(교사, 의료인, 직장인 등)에도 치료 개입이 적극 권장됩니다.
4. 수액 치료는 어떤 경우에 필요할까요?

독감 치료에서 수액 요법은 기본 치료가 아니라, 선택적인 보조 치료입니다. 모든 독감 환자에게 수액이 필요한 것은 아니며, 다음과 같은 상황에서 수액이 도움이 될 수 있습니다
- 고열과 식욕부진으로 탈수가 우려되는 경우
- 복용이 어려운 심한 오심/구토가 있는 경우
- 전신 쇠약감과 근육통으로 일상생활이 어려운 경우
- 기저질환(당뇨, 심부전 등)으로 탈수가 위험한 경우
이러한 상황에서 수액은 전해질 균형을 회복시키고, 면역 회복에 필요한 에너지와 수분을 공급하며, 항바이러스제와 해열진통제의 체내 순환을 도와 회복을 촉진할 수 있습니다.
하지만, 가벼운 증상이나 회복세에 있는 환자에게는 굳이 수액을 권하지 않으며, 오히려 충분한 경구 수분 섭취와 휴식으로도 충분한 경우가 많습니다.
5. 독감 예방이 치료보다 더 중요합니다
가장 효과적인 독감 예방 방법은 매년 접종하는 인플루엔자 백신입니다.
백신은 100% 감염을 막을 수는 없지만, 감염되더라도 증상의 강도와 합병증 위험을 낮추는 데 명확한 효과가 있습니다. 특히 고위험군에게는 생명을 지키는 중요한 예방 수단입니다[1].
6. 검단 독감 치료, 아솔내과

독감은 결코 가볍게 넘길 수 있는 질환이 아닙니다.
고열이 며칠 지속되고 일상생활이 어려울 정도로 탈진하는 경우, 단순 감기와는 다르다는 신호입니다. 특히 고위험군의 경우에는 하루 이틀의 치료 지연이 입원이나 합병증 발생으로 이어질 수 있습니다.
아솔내과는 진단부터 치료, 예방까지 통합적인 독감 진료를 제공합니다. 검단, 불로동, 풍무동 지역에서 독감 증상이 의심될 때, 조기 진단과 맞춤 치료로 빠른 회복을 도와드리겠습니다.
감사합니다.
참고문헌
- Boktor SW, Hafner JW. Influenza. StatPearls Publishing; 2023 Jan. PMID: 30085552.
- CDC. Antiviral Medications: Summary for Clinicians. 2023–2024 influenza season.
당신이 좋아할 만한 콘텐츠
by Google Adsense
당신이 좋아할 만한 콘텐츠
by Google Adsense
