안녕하세요. 인천 검단 아솔내과입니다.
담낭 용종의 대부분은 증상이 없어 우연히 발견되지만, 일부는 통증이나 소화불량 등으로 병원을 찾게 되며, 진단 후 혼란이나 불안을 겪게 됩니다.
“이게 암이 되나요? 수술을 해야 하나요?”라는 질문은 진료실에서 매우 자주 듣게 되는 말입니다.
본 글에서는 담낭 용종 증상, 원인, 그리고 치료 및 추적 관찰에 대한 최신 근거를 바탕으로 정리해드리겠습니다.

1. 담낭 용종이란?
담낭 용종(Gallbladder polyp)은 담낭 점막이 비정상적으로 돌출된 병변으로, 건강검진 초음파에서 흔히 발견되는 병변입니다. 흔히 ‘혹’이라고도 표현됩니다.
병리학적으로는 크게 두 가지로 나뉩니다.
- 비종양성 용종: 콜레스테롤 용종, 염증성 용종, 선근종증 등. 대부분 양성입니다.
- 종양성 용종: 선종(adenoma), 선암종(adenocarcinoma) 등. 일부는 악성화 위험이 있습니다 [1].
국내 유병률은 약 6~10%로 보고되며, 대부분 콜레스테롤 용종으로 1cm 이하, 다발성인 경우가 많습니다 [2].
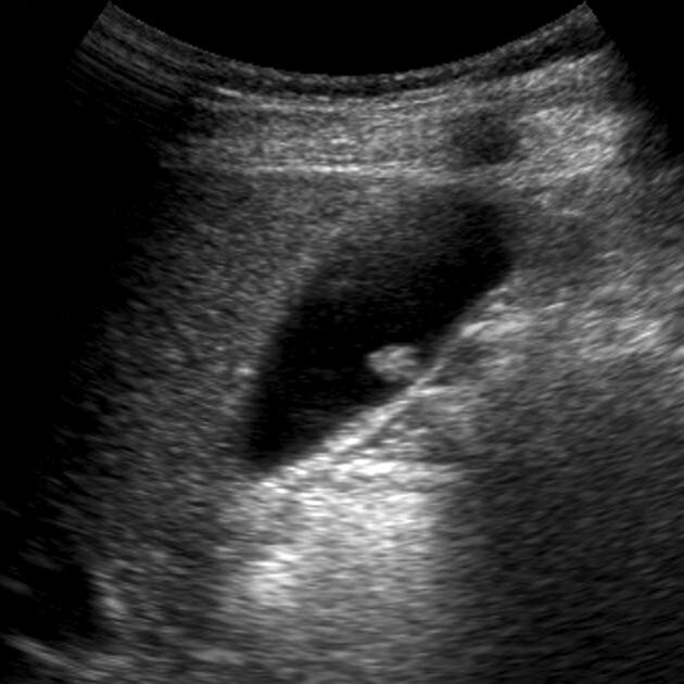
2. 담낭 용종의 초음파 소견

복부 초음파는 담낭 용종 진단의 가장 기본적인 도구입니다. 다음과 같은 특징이 대표적입니다.
- 내강 내 고정된 에코음영: 체위 변화에도 움직이지 않음
- 후방음영 없음: 담석과 구별됨
- 작고 둥근 돌출 병변: 대부분 5mm 이하의 콜레스테롤 용종
콜레스테롤 용종은 밝은 에코를 가진 작고 둥근 다발성 병변으로 보이며, 초음파에서 가장 흔하게 관찰됩니다. 반면, 무경성(sessile) 용종이나 1cm 이상 크기의 병변은 선종 가능성을 의심할 수 있어 정밀 평가가 필요합니다 [1].
3. 담낭 용종 증상
대부분의 담낭 용종은 증상이 없습니다. 무증상 상태에서 우연히 발견되는 경우가 일반적입니다.
그러나 다음과 같은 증상이 동반될 수 있습니다.
- 오른쪽 윗배의 불쾌감이나 통증
- 식후 소화불량
- 더부룩함, 식욕 저하
이러한 증상은 종종 담낭 기능 저하, 담석 또는 담낭염과 관련된 경우가 많습니다. 단독 용종으로는 일반적으로 심한 증상을 유발하지 않습니다 [2].
드물게, 큰 선종성 용종이나 담낭암이 담도 폐쇄를 유발할 경우 황달이나 체중 감소가 나타날 수 있습니다.
4. 담낭 용종의 원인과 위험 인자
가장 흔한 콜레스테롤 용종은 담즙 내 콜레스테롤이 침착되며 발생합니다. 대사 이상과 연관이 많습니다.
주요 위험 인자로는 아래와 같은 것들이 있습니다.
- 고지혈증
- 비만, 대사증후군
- 당뇨병
- 고지방/저섬유 식사
5. 담낭 용종 치료 가이드라인
- 10mm 이상:
- 증상 유무와 관계없이 담낭절제술(cholecystectomy) 권고
- 6~9mm 크기의 용종:
- 다음 중 하나라도 해당하는 고위험군이면 수술 고려
- 나이 60세 초과
- 원발성 경화성 담관염 (PSC)
- 아시아 인종
- 무경성 용종 또는 국소 담낭벽 비후(>4mm)
- 고위험 인자 없을 경우:
- TAUS 추적검사: 6개월, 1년, 2년 시행 후 크기 변화 없으면 종료 가능
- 다음 중 하나라도 해당하는 고위험군이면 수술 고려
- 5mm 미만:
- 고위험 인자 없음 → 추적 불필요
- 고위험 인자 있음 → 정기 추적검사 고려
6. 검단 담낭 용종, 아솔내과

담낭 용종은 단순한 양성 병변에서부터, 드물지만 조기 담낭암의 신호일 수 있기 때문에 진단 후 정확한 분류와 계획이 중요합니다. 특히 무증상이라 하더라도, 용종의 크기, 형태, 환자의 나이 및 대사질환 유무 등 다양한 요소를 종합적으로 고려해 판단해야 합니다.
아솔내과에서는 모든 환자에게 맞춤형으로 접근합니다.
불필요한 수술은 피하고, 반드시 필요한 경우에는 정확한 타이밍에 외과 협진을 통해 안전하게 진행합니다.
특히 6~9mm 범위의 애매한 병변에 대해서는 최신 초음파 영상 기술과 내시경 초음파 등을 활용해 정밀 평가를 시행하고 있으며, 환자분이 안심하실 수 있도록 충분한 설명과 계획을 안내드립니다.
담낭 용종을 처음 진단받고 걱정이 많으신 경우, 혼자 고민하지 마시고 아솔내과에 방문해 정확한 진료와 상담을 받아보시기 바랍니다.
감사합니다.
참고문헌
- 대한내과학회지. 담낭용종의 진단 및 치료 가이드라인.
- Korean J Gastroenterol. 담낭 용종의 진단, 치료 및 추적관찰에 대한 최신지견. 2023.
당신이 좋아할 만한 콘텐츠
by Google Adsense
당신이 좋아할 만한 콘텐츠
by Google Adsense


