안녕하세요, 인천 검단 아솔내과 내과입니다.
건강검진 초음파에서 “담낭에 결석이 있습니다”라는 말을 듣고 깜짝 놀라 오시는 분들이 많습니다.
실제로 초음파에서 담낭 결석(담석증)은 매우 흔하게 발견되지만, 그 모든 환자가 수술이 필요한 것은 아닙니다.
어떤 경우는 평생 아무 문제 없이 지내기도 하고, 어떤 경우는 갑작스러운 통증과 함께 응급실로 실려오기도 합니다.
오늘은 무증상 담낭 결석 치료 여부를 중심으로, 어떤 경우에 담낭 절제술이 필요한지, 그리고 언제는 관찰이 더 안전한 선택인지를 근거 중심으로 설명드리겠습니다.

1. 담낭 결석 치료?
(1) 무증상 담낭 결석, 치료해야 할까?
대부분의 환자는 증상이 없기 때문에 “지금 수술해야 하나요?”라는 질문을 가장 많이 하십니다.
의학적으로는 무증상 담석에서 급성 담낭염·담관염·췌장염 같은 합병증이 생길 확률이 연 1~2%, 급성 담낭염은 0.1~0.3% 정도로 매우 낮습니다[1]. 따라서 무증상 담석은 원칙적으로 경과 관찰이 기본입니다.
즉, 담낭 결석이 있다고 해서 바로 수술할 필요는 없습니다.
다만, 예외적인 상황이 존재합니다. 다음과 같은 조건에 해당한다면, 증상이 없어도 예방적 수술을 고려해야 합니다.
(2) 증상이 없더라도 수술을 고려해야 하는 경우
– 기저질환으로 합병증 발생 시 위험이 큰 경우
당뇨병, 면역저하 상태(항암치료 중, 스테로이드 장기 복용 등), 중증 간질환 등이 있는 경우 감염 진행이 빠르기 때문에, 무증상이라도 수술을 고려할 수 있습니다[1][2].
– 담석의 크기가 큰 경우 (3cm 이상)
3cm 이상 큰 담석은 담낭암 발생 위험이 증가하는 것으로 알려져 있습니다[1][2]. 또한 관련 합병증의 위험도 비약적으로 커집니다.
이런 경우에는 예방적 담낭절제술이 권장됩니다.
– 담낭 용종이 동반된 경우 (특히 1cm 이상)

담낭 결석과 용종이 함께 있으면 용종의 악성 가능성이 높아집니다.
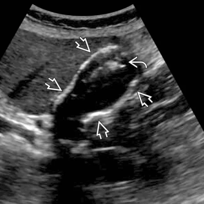
초음파에서 담낭 용종은 벽에 고정되어 움직이지 않고 후방 음영이 없는 돌기 형태,
반면 담낭 결석은 체위 변화에 따라 이동하며 강한 반사와 그림자(후방 음영)를 보입니다.
이러한 경우 담낭암의 위험이 증가할 수 있어, 예방적 절제술을 고려합니다.
– 담낭벽 석회화(‘포셀린 담낭’)

담낭벽이 석회화되어 하얗게 보이는 경우 담낭암과의 연관성이 높습니다. 무증상이라도 수술을 권장합니다.
2. 수술 없이 지켜봐도 되는 무증상 담석
그렇다면 수술이 필요 없는 환자는 어떤 경우일까요?
- 초음파에서 담석만 존재하고(<3cm) 담낭벽이 얇으며 염증 소견이 없는 경우
- 담낭 기능(수축력)이 유지되고, 담관에 돌이 없는 경우
- 복통, 구토, 황달 등 담도성 증상이 전혀 없는 경우
이러한 경우는 정기 초음파 추적과 증상 모니터링으로 충분합니다.
일반적으로 6개월~1년 주기로 복부 초음파를 시행하며, 담낭벽 두께나 담석의 크기 변화를 관찰합니다.
3. 증상이 생기면 상황이 달라진다
무증상 담석이더라도, 한 번이라도 담도성 통증이 발생하면 치료 원칙이 완전히 바뀝니다.
전형적인 담도성 산통은 오른쪽 윗배나 명치 통증이 30분 이상 지속되며, 오른쪽 어깨나 등으로 통증이 퍼지는 특징을 가집니다. 기름진 음식을 먹은 후에 통증이 유발되기도 합니다[1][2].
한 번이라도 이러한 통증이 발생했다면, 10년 내 재발 확률이 90%, 그중 2년 내 재발이 2/3를 차지합니다[1].
또한 급성 담낭염·담관염·췌장염 같은 합병증이 동반될 가능성이 급격히 올라가므로 복강경 담낭절제술이 표준 치료입니다.
4. 복강경 담낭절제술

가장 안전하고 표준적인 치료
오늘날 담낭 결석 치료의 표준은 복강경 담낭절제술(laparoscopic cholecystectomy)입니다.
3~4개의 작은 절개로 시행되며 통증이 적고 회복이 빠릅니다.
수술 후 대부분의 환자는 1~2일 내 퇴원, 일주일 이내 일상 복귀가 가능합니다.
수술 후 소화 기능에 큰 문제는 없으며, 초기에는 지방 섭취 시 묽은 변이나 더부룩함이 생길 수 있으나 대부분 수주 내 회복됩니다.
5. 정기 추적이 중요한 이유
무증상 담석을 단순히 방치해서는 안 됩니다.
담석의 크기 변화, 담낭벽의 비후, 새로운 증상의 발생을 확인하기 위해 정기적인 초음파 추적이 필수입니다.
특히 3cm에 가까운 큰 담석이나 담낭 용종이 함께 있는 경우, 매년 추적 초음파를 통해 변화를 관찰해야 합니다.
검단 아솔내과에서는 이러한 환자분들을 대상으로 주기적 복부초음파와 담도 효소 검사(GGT, ALP, bilirubin 등)를 시행하며 변화를 추적 관리합니다.
6. 검단 담낭 결석 치료, 아솔내과

담낭 결석은 흔하지만, 모든 담석이 문제를 일으키는 것은 아닙니다.
가장 중요한 것은 “증상이 생겼는가”, “담낭벽과 용종의 상태는 어떤가”, “담석의 크기가 큰가”를 평가해 적절한 시기에 치료하는 것입니다.
아솔내과에서는 복부 초음파를 통한 정밀 진단, 필요 시 상급병원과 협진을 통한 수술 연계, 담낭 용종·결석 환자의 장기 추적 관리를 진행하고 있습니다.
담낭 결석이 있다고 해서 너무 걱정하지 마시고, 증상이 없고 위험요인이 없다면 주기적인 검진으로 충분히 안전하게 관리할 수 있습니다.
감사합니다.
참고문헌
- Chung KH. Approach to the Diagnosis and Management of Gallstones. Korean J Gastroenterol. 2023;81(5):203–208.
- Jones MW, Weir CB, Marietta M. Gallstones (Cholelithiasis). StatPearls Publishing; 2025 Update.
- Lee HS et al. Revised Clinical Practice Guideline of Korean Pancreatobiliary Association for Common Bile Duct Stones. Korean J Pancreas Biliary Tract. 2024;29(4):128–134.
- 대한소화기학회 | 무증상 담낭 결석의 치료
당신이 좋아할 만한 콘텐츠
by Google Adsense
당신이 좋아할 만한 콘텐츠
by Google Adsense


